- 产品特性
- 相关资料
- Q&A
- 参考文献
阿尔茨海默病研究用
高分子β-淀粉样蛋白寡聚体 ELISA试剂盒Wako
近年来,β-淀粉样蛋白(Aβ)寡聚体作为阿尔茨海默病因而倍受瞩目。众所周知,Aβ寡聚体是Aβ单体的可溶性凝集体,会抑制神经细胞的突触功能。
Aβ寡聚体中,按照分子量的大小,可以分成低分子量的Aβ寡聚体(Low-n 寡聚体)和高分子的Aβ寡聚体(ADDL、Aβ*56、原纤维(Profibril))。
有相关的报告指出,高分子Aβ寡聚体的Aβ*56(12-mer)对记忆损伤的影响极大1),在认知功能正常的成年人中,Aβ*56比二聚体、三聚体先增加并与Tau蛋白相关,二聚体、三聚体形式的Aβ不与Tau相关2)。
1) Lesné, S., et al.: Nature, 440, 7082, 352(2006).
2) Lesné, S. E., et al.: Brain,136, 1383(2013).

◆特点
可特异性地对9-mer以上的高分子Aβ寡聚体进行定量。
◆试剂盒内容
① 抗体(BAN50)固相化96孔板——1个
② 标准溶液(10 nM)——100 μL
③ 缓冲液——60 mL
④ 生物素偶联抗体(BAN50)溶液——100 μL
⑤ 过氧化物酶偶联链霉亲和素溶液——100 μL
⑥ 显色剂1——6 mL
⑦ 显色剂2——6 mL
⑧ 洗涤液(10×)——100 mL
⑨ 封板贴——3张
◆试剂盒功能
|
标准曲线范围 |
0.410~100 pM※1 |
|
反应Aβ寡聚体 |
≧9mer的Aβ寡聚体 |
|
检测对象样本※2 |
脑脊髓液 in vitro Aβ寡聚体 |
|
交叉反应 |
人 |
|
样本体积 |
25 μL(4倍稀释) |
|
检测时间 |
4.5小时 |
|
检测方法 |
发光法※3 |
※1 基于16-mer多抗原肽(MAP)标准品的换算值。
※2 不推荐使用血浆、血清作为样本。
※3 检测时需要准备酶标仪。

|
产品编号 |
产品名称 |
规格 |
包装 |
|
298-80101 |
High Molecular Amyloid β Oligomer ELISA Kit Wako 高分子β-淀粉样蛋白寡聚体ELISA试剂盒 |
免疫化学用 |
96次用 |
◆检测原理
这种使用抗Aβ抗体(BAN50)进行捕获和检测的的双抗体夹心法ELISA系列,与1-8-mer几乎不发生反应,与9-mer以上的Aβ寡聚体则发生特异性反应3)4)。
使用带有16个抗Aβ抗体(BAN50)的抗原决定簇的16-mer MAP作为标准品4)。
![]() |
![]() |
3)Fukumoto, H., et al.: FASEB J.,24, 2716(2010).
4)Kasai, T., et al.: Biochem. Biophys.Res. Commun., 422, 3, 375(2012).
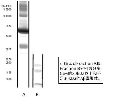
◆高分子Aβ寡聚体的特异性数据
将Aβ1-42冷藏于4℃并孵育一晚后,通过超滤将不足30 kDa(8聚体以下)和大于等于30 kDa(九聚体以上)的Aβ寡聚体分离,分别把回收到的片段进行Western Blot和本ELISA检测。

| ■ Western Blot(抗Aβ抗体(BAN50)) | ■ Aβ寡聚体ELISA |
![]() |
![]() |
→八聚体以下(<30kDa)的Fraction B几乎检测不到信号;九聚体以上(≥30kDa)的Fraction A则检测到强烈的信号。
◆检测案例——人脑脊髓液
用本ELISA法和其他公司的产品分别对非认知症患者(Control)和阿尔茨海默病(AD)患者脑脊髓液中的Aβ寡聚体进行检测。
| Wako产品 | 其他公司产品 |
![]() |
![]() |
|
MMSEscore※4 |
FUJIFILM Wako |
其他公司 |
|
|
Control1 |
— |
0.98 |
ND |
|
Control 2 |
— |
1.99 |
33 |
|
Control 3 |
— |
1.69 |
37 |
|
Control 4 |
— |
4.59 |
88 |
|
Control 5 |
— |
1.73 |
55 |
|
AD1 |
20 |
4.40 |
90 |
|
AD2 |
20 |
4.11 |
113 |
|
AD3 |
26 |
4.95 |
100 |
|
AD4 |
24 |
5.84 |
78 |
|
AD5 |
15 |
5.74 |
105 |
※4 MMSEscore:认知功能诊断问诊检查的评分
30-28分:正常;27-24分:怀疑有轻度认知障碍;23分以下:怀疑严重认知症
→本产品在检测非认知症患者(Control)和阿尔茨海默病患者(AD)二者时的检测值有明显差异。另外,比其他公司产品检测非认知症患者(Control)和阿尔茨海默病患者(AD)群也有更明显的差异。
◆相关产品
■ Aβ ELISA试剂盒
|
产品编号 |
产品名称 |
规格 |
包装 |
|
292-62301 |
Human β Amyloid(1-40) ELISA Kit Wako |
免疫化学用 |
96次用 |
|
298-64601 |
Human β Amyloid(1-40)ELISA Kit Wako Ⅱ |
免疫化学用 |
96次用 |
|
294-62501 |
Human/Rat Beta Amyloid(40)ELISA Kit Wako |
免疫化学用 |
96次用 |
|
294-64701 |
Human/Rat Beta Amyloid(40) ELISA Kit Ⅱ |
免疫化学用 |
96次用 |
|
298-62401 |
Human β Amyloid(1-42) ELISA Kit Wako |
免疫化学用 |
96次用 |
|
296-64401 |
Human β Amyloid(1-42) ELISA Kit Wako, High Sensitive |
免疫化学用 |
96次用 |
|
290-62601 |
Human/Rat Beta Amyloid(42)ELISA Kit Wako |
免疫化学用 |
96次用 |
|
292-64501 |
Human/Rat Beta Amyloid(42) ELISA Kit Wako, High Sensitive |
免疫化学用 |
96次用 |
■ 抗Aβ抗体及抗APP抗体
|
产品编号 |
产品名称 |
规格 |
包装 |
|
017-26871 |
Anti Human Amyloid β, Monoclonal Antibody(BAN50) |
免疫化学用 |
10 μL |
|
013-26873 |
50 μL |
||
|
014-26881 |
Anti Amyloid β, Monoclonal Antibody(BNT77) |
免疫化学用 |
10 μL |
|
010-26883 |
50 μL |
||
|
018-26921 |
Anti Amyloid β40, Monoclonal Antibody(BA27) |
免疫化学用 |
10 μL |
|
014-26923 |
50 μL |
||
|
014-26901 |
Anti Amyloid β42(43), Monoclonal Antibody(BC05) |
免疫化学用 |
10 μL |
|
010-26903 |
50 μL |
||
|
014-27241 |
Anti Human Apolipoprotein E4, Monoclonal Antibody(3F9) |
免疫化学用 |
10 μL |
|
010-27243 |
50 μL |
※ 本页面产品仅供研究用,研究以外不可使用。
欲索取产品单页,请点击:高分子β-淀粉样蛋白寡聚体ELISA试剂盒Wako
本产品已推出可检测血清、血浆样本的Ver2版本,详请请点击此处。
本版本售完即止!
| 产品编号 | 产品名称 | 产品规格 | 产品等级 |







