- 产品特性
- 相关资料
- Q&A
- 参考文献

StemRNA 3rd Gen Reprogramming Kit
StemRNA第三代重编程试剂盒 (又名StemRNA™-NM重编程试剂盒)
Stemgent RNA重编程的新产品——StemRNA第三代重编程试剂盒(旧名StemRNA-NM重编程试剂盒),结合了未经修饰的RNA和microRNA技术,使干细胞研究人员追求的多功能性、简易性和时间效益提升到一个新的层次,使人成纤维细胞,以及来自难以重编程的患者血液和尿液的细胞样品得已重编程,成为具有全能性的诱导型多功能干细胞(iPS)。
◆主要优点
● 运用灵活技术,可从多种靶细胞得到高质量的人iPS细胞系
● 即开即用。可用于来自皮肤(成纤维细胞),血液(内皮祖细胞; EPCs)和尿液(尿源性上皮细胞; UDCs)细胞的重编程。
● 高效率的非整合重编程
● StemRNA-3rd Gen仅需要少至四种额外的试剂。试剂盒中的双链microRNA可增强重编程效率,提高iPS获得效率(成纤维细胞高达4%,EPC高达3%,UPC高达0.5%)。
● 省时的操作更快获得结果,从而提高吞吐量
● 从成纤维细胞的细胞系中得到iPS克隆需要10-14天,而从EPC或UPC中获得细胞系需要12-16天。无需筛选,无需像其他技术般额外培养2-10周(3-10代)以清除载体。
|
StemRNA 3rd Gen Reprogramming Kit (00-0076) |
|||
|
特点 |
成纤维细胞 |
尿液 (UDCs) |
血液(EPCs) |
|
每个试剂盒可转染的孔数(6孔板) |
9 |
3 |
3 |
|
转染次数 |
4 |
6-8 |
6-8 |
|
获得原代iPS细胞克隆所需天数 |
10-14 |
12-14 |
12-14 |
|
重编程效率 |
2-+4% |
0.1-0.5% |
0.4-3% |
|
筛选 |
否 |
否 |
否 |
|
兼容异源成分的培养步骤 |
是 |
否 |
否 |
|
GMP级的RNA制备步骤 |
是 |
是 |
是 |

在NutriStem™ XF / FF培养基(01-0005)中扩增后,使用StainAlive™ TRA-1-60抗体(09-0068)和DAPI对UDCs的P7原代iPS细胞进行染色。

StemRNA 3rd Gen Reprogramming Kit

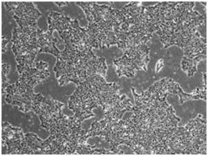
以StemRNA 3rd Gen Reprogramming Kit 配合NutriStem™ XF/FF培养基(01-0005)及iMatrix-511(NP892-011)基质上培养成纤维细胞衍生的iPS细胞7代。 放大倍数:4x

StemRNA-NM的成纤维细胞重编程s时间表
◆产品说明
|
规格 |
1 kit |
|
试剂盒组分 |
OKSMNL NM-RNA(编号05-0040),30 µg,1 vial |
|
储存与稳定性 |
1. 试剂盒三种成分均需储存在-70°C以下; |
|
质量控制 |
试剂盒种每种mRNA的大小与完整性均经过检测。 StemRNA 3rd Gen Reprogramming Kit 成功进行了人成纤维细胞和人脐静脉内皮细胞RNA基础重编程功能验证。 iPS细胞系完全重编程可通过多能性标记物的表达及正确的形态来确认。 试剂盒所有组分均无菌,支原体检测均呈阴性。 |
|
使用许可 |
该产品使用Biontech AG独家许可技术,引自专利WO 2009/088134。 Biontech AG的WO 2007/036366,WO 2007/036366,WO 2007/036366和WO 2007/036366等多专利也涵盖 了本产品。 |
◆产品列表
|
产品编号 |
产品名称 |
规格 |
|
00-0076 |
Stemgent® StemRNA™ 3rd Generation Reprogramming Kit |
1 kit |
◆相关产品
|
产品编号 |
产品名称 |
包装 |
|
01-0005 |
NutriStem XF/FF Culture Medium (500 mL) |
500 mL |
|
01-0005-100 |
NutriStem XF/FF Culture Medium (100 mL) NutriStem 无饲养层干细胞培养基 |
100 mL |
|
03-0002 |
Stemfactor™ FGF-Basic, Human Recombinant |
50 µg |
|
01-0020-50 |
NutriFreez D10 Cryopreservation Mediu |
50 mL |
iMatrix-511
|
产品编号 |
产品名称 |
包装 |
|
NP892-011 |
iMatrix-511 |
350 μg |
|
NP892-012 |
1050 μg |
|
|
NP892-013 |
175 μg |
|
|
385-07361 |
iMatrix-511 solution(0.5 mg/mL) |
175 μg×2 |
iMatrix-511产品详细信息请点击:iMatrix-511层粘连蛋白
查看相关产品宣传册,请点击:Stemgent细胞重编程
参考文献
|
1. |
Poleganov MA; Eminli S; Beissert T; Herz S; Moon J-I; Goldmann J; Beyer A; Heck R; Burkhart I; Roldan DB; Tureci O; Yi K; Hamilton B; Sahin U. "Efficient reprogramming of human fibroblasts and blood-derived endothelial progenitor cells using nonmodified RNA for reprogramming and immune evasion." Human Gene Therapy 26:751 (2015) |
|
Featured Publication |
|
|
2. |
Gagliano O; Luni C; Qui W; Bertin E; Torchio E; Galvanin S; Urciuolo A; Elvassore N. Microfluidic reprogramming to pluripotency of human somatic cells. Nat. Protocols 14:772-737 (2019).
The StemRNA 3rd Gen Reprogramming Kit was used to generate iPSCs from fibroblasts in a microfluidic system that used only 1500 cells in 20 µL of medium. RNA-based reprogramming is ideal for such an application since it does not require extended culture for elimination of reprogramming vectors. |
|
Additional Publications |
|
|
3. |
Nakajima M; Yoshimatsu S; Sato T; Nakamura M; Okahara J; Sasaki E; Shiozawa S; Okano H. Establishment of induced pluripotent stem cells from common marmoset fibroblasts by RNA-based reprogramming. Biochem Biophys Research Commun in press: https://doi.org/10.1016/j.bbrc.2019.05.175 (2019). |
|
4. |
Watanabe T; Yamazaki S; Yoneda N; Shinohara H; Tomioka I; Iiguchi T; Tagoto M; Ema M; Suemizu H; Kawai K; Sasaki E. Highly efficient induction of primate iPS cells by combining RNA transfection and chemical compounds. Genes to Cells in press:doi:10.1111/gtc.12702 (2019). |
|
5. |
Liu L-P; Li Y-M; Guo N-N; LI S; Ma X; Zhang Y-X; Gao Y; Huang J-L; Zheng D-X; Wang L-Y; Xu H; Hui L; Zheng Y-W. Therapeutic Potential of Patient iPSC-Derived iMelanocytes in Autologous Transplantation. Cell Reports 27:455-466.e5 (2019). |
|
6. |
Sacco AM; Belviso I; Romano V; Carfora A; Schonauer F; Nurzynska D; Montagnani S; Di Meglio F; Castaldo C. Diversity of dermal fibroblasts as major determinant of variability in cell reprogramming. J Cell Mol Med :1-13; https://doi.org/10.1111/jcmm.14316 (2019). |
|
7. |
Klein T; Klug K; Henkel L; Kwok CK; Edenhofer F; Klopocki E; Kurth I; Üceyler N. Generation of two induced pluripotent stem cell lines from skin fibroblasts of sisters carrying a c.1094C>A variation in the SCN10A gene potentially associated with small fiber neuropathy. Stem Cell Res 35:101396 (2019). |
|
8. |
Dasgupta B; Rusha E; Drukker M. iPSC generation, prime to naïve reversion & characterization and primordial germ cell differentiation of Northern White Rhino. Univ Bremen : (2019). |
|
9. |
Su S; Guntur AR; Nguyen DC; Fakory SS; Doucette CC; Leech C; Lotana H; Kelley M; Kohil J; Martino J; Sims-Lucas S; Liaw L; Vary C; Rosen CJ; Brown AC. A Renewable Source of Human Beige Adipocytes for Development of Therapies to Treat Metabolic Syndrome. Cell Reports 25:3215-3228.e9 (2018). |
|
10. |
Klein T; Henkel L; Klug K; Kwok CK; Klopocki E; Üceyler N. Generation of the human induced pluripotent stem cell line UKWNLi002-A from dermal fibroblasts of a woman with a heterozygous c.608 C>T (p.Thr203Met) mutation in exon 3 of the nerve growth factor gene potentially associated with hereditary sensory and autonomic neuropathy type 5. Stem Cell Research https://doi.org/10.1016/j.scr.2018.10.017 (2018) |
|
11. |
Liu X; Nefzger CM; Rossello FH; Chen J; Knaupp AS; Firas J; Ford E; Pflueger J; Paynter JM; Chy HS; O'Brien CM; Huang C; Mishra K; Hodgson-Garms M; Jansz N; Williams SM; Blewitt ME; Nilsson SK; Schittenhelm RL; Laslett AL; Lister R; Polo JM. Comprehensive characterization of distinct states of human naive pluripotency generated by reprogramming. Nature Methods 14:1055 (2017) |
| 产品编号 | 产品名称 | 产品规格 | 产品等级 |
| 00-0076 | StemRNA™-NM Reprogramming Kit StemgentRNA™-NM重编程试剂盒 |
1 kit | - |




